Dental Advice
Home
Dental Services
Dental Fees
Team
Online Booking
Contact
Our Location
Blog
Social Media
Gallery
Back
Smile Makeovers
Orthodontics
Composite Tooth Bonding
Dental Advice
Home
Dental Services
Dental Fees
Team
Online Booking
Contact
Our Location
Blog
Social Media
Gallery
Smile Makeovers
Orthodontics
Composite Tooth Bonding
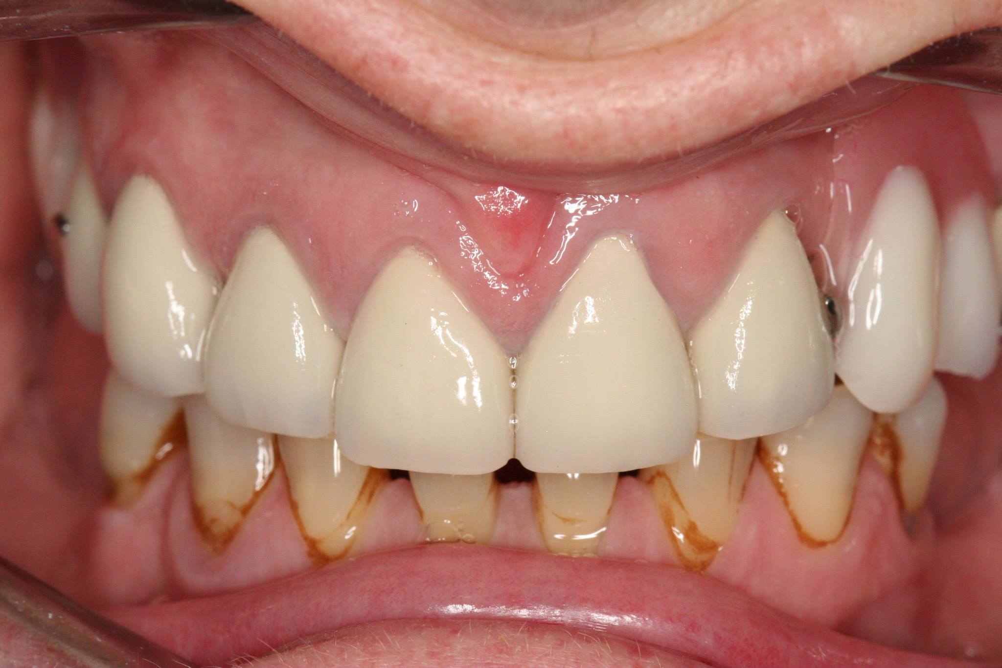
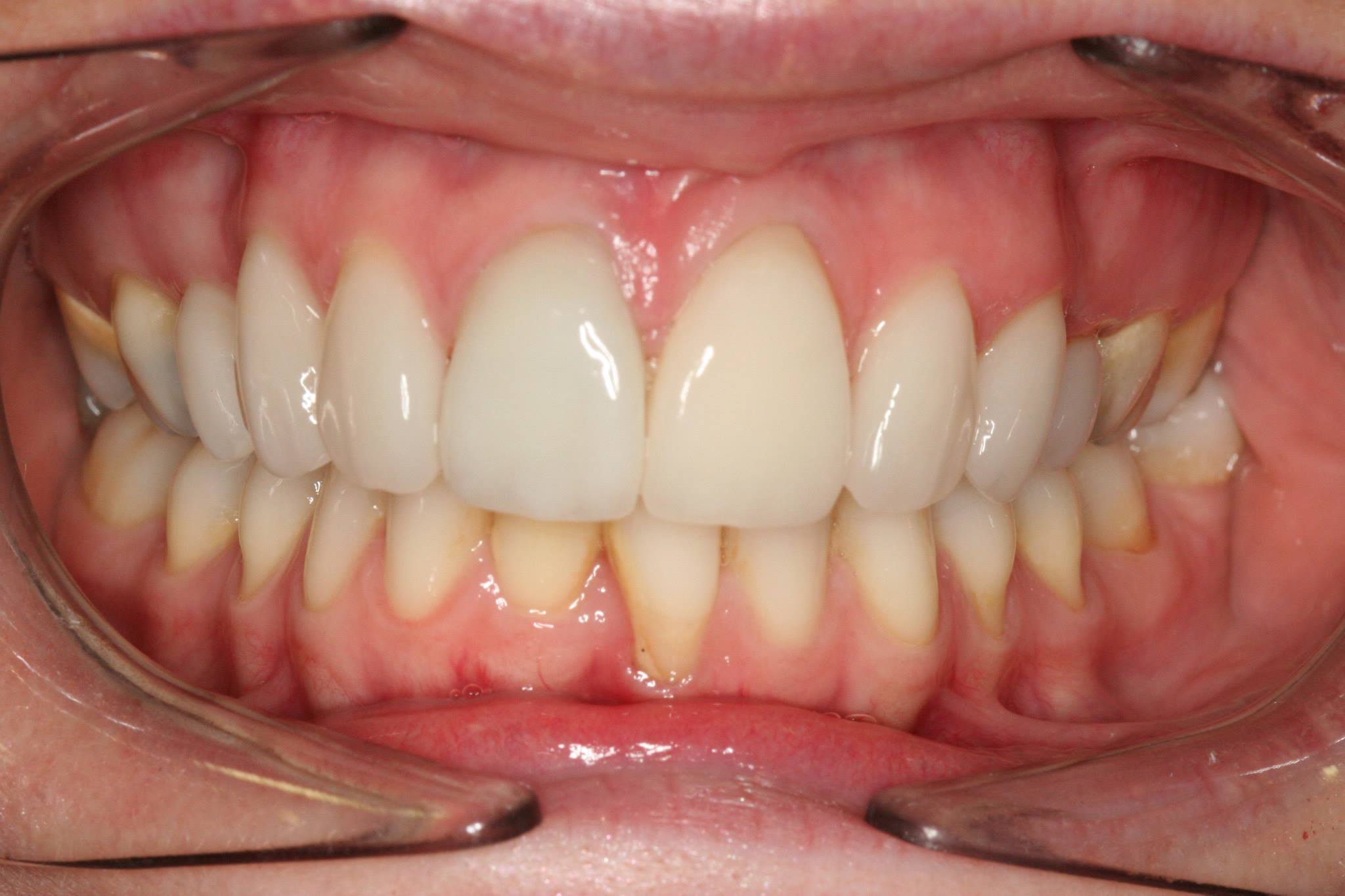
SMILE MAKEOVERS
VISIT OUR SOCIAL MEDIA PAGES FOR MORE CASES